發布 2020.07.29 10:54
新聞跑馬燈
最新報導
-
留言 -
留言發布 2020.07.29 10:52
新北農業局龜吼港、牡丹溪工程 雙獲國家卓越建設獎
-
留言8PR
2026赤聲躁動登場 亞洲樂團齊聚台中 中市新聞局:持續厚植流行音樂能量
-
留言8PR
台中好孕專車加入Uber更好用 市府跨局處整合服務守護孕媽咪
-
留言發布 2020.07.29 10:52
網路取代馬路!北市每日有64件線上申請臨時使用道路
-
留言發布 2020.07.29 10:52
蔡政府4年花113億買媒體 國民黨斥:搞大內宣花錢不手軟
-
留言發布 2020.07.29 10:38
高嘉瑜預告唱《追追追》釣出高中照 網:求認識
-
留言發布 2020.07.29 10:35
港立法會選舉擬延後一年 民主派「重新洗牌」恐重挫
-
留言發布 2020.07.29 10:21
武漢肺炎》泰籍移工自台返泰確診!桃園市府緊急消毒
-
留言發布 2020.07.29 10:16
侯友宜不連任選總統? 黃光芹:朱立倫、韓國瑜都不是他的對手
-
留言發布 2020.07.29 09:58
貪污現世報?大馬前首相5年前開除副手 同一天判12年
-
留言發布 2020.07.29 09:41
送陳玉珍月老QQ軟糖 黃偉哲喊話來台南有機會找到好姻緣
-
留言發布 2020.07.29 09:26
快訊》李登輝住院 蔡英文、賴清德上午10點將前往榮總探視
-
留言發布 2020.07.29 09:21
李登輝幕僚憶90年代總統府 自曝曾被兩蔣遺留「長途台」監聽嚇到
-
留言發布 2020.07.29 09:01
白俄羅斯總統稱曾染疫 但無症狀且已痊癒
-
留言發布 2020.07.29 08:52
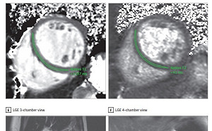
驚!美德研究:武肺病毒疑直攻心臟 康復也難倖免
-
留言發布 2020.07.29 08:46
中國汛情一路向北!各地洪水為患已逾5千萬人受害 災損超過6千億元
-
留言發布 2020.07.29 08:20
不讓中國一意孤行!歐盟一致回應港版國安法 德外長:聲援港人象徵
-
留言發布 2020.07.29 07:56
中國種子郵攻美27州? 我超前部署2招攔不明包裹
-
留言發布 2020.07.29 07:39
美中衝突成梅克爾政府「難題」德國官員:我們正經歷冷戰2.0開端
-
留言發布 2020.07.29 07:07
季風槽報到!白天高溫炎熱 午後慎防局部雷陣雨
-
留言發布 2020.07.29 07:01
川普稱美國很快能戰勝武漢肺炎「進入黃金時代」嗆示威者都神經病