發布 2019.12.10 16:18
新聞跑馬燈
最新報導
2019.12.10
-
留言 -
留言發布 2019.12.10 16:15
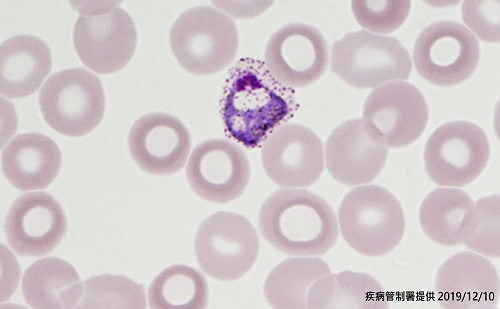
3年來首例!50歲女性境外染瘧疾回國又復發
-
留言3PR
2026赤聲躁動登場 亞洲樂團齊聚台中 中市新聞局:持續厚植流行音樂能量
-
留言3PR
台中好孕專車加入Uber更好用 市府跨局處整合服務守護孕媽咪
-
留言發布 2019.12.10 16:10
流感致死數10月以來累積11人!幼童與老人是高危險群
-
留言發布 2019.12.10 16:09
林鄭月娥週末「赴京述職」 傳給官職安撫落選建制議員
-
留言發布 2019.12.10 16:07
來去不留痕跡!Google Map無痕新功能用戶隱私更有保障
-
留言發布 2019.12.10 15:59
筷子到底要怎麼拿才對?行家曝真相 眾全看傻:拿錯20年
-
留言發布 2019.12.10 15:44
民進黨食香港抗爭者「人血饅頭」? 浸大學生會長方仲賢澄清及道歉
-
留言發布 2019.12.10 15:39
毒防基金會資金短缺 高市府:研議進行內部調整或對存廢做決定
-
留言發布 2019.12.10 15:30
不吃米飯可以降血糖?國健署:小心適得其反
-
留言發布 2019.12.10 15:30
《鬥陣特攻》不堪版本變動負荷 OWL Jake、Pine接連宣布退役
-
留言發布 2019.12.10 15:27
(影)批「殺人魔王、殘害人權」 「台灣國」再奔「中正廟」潑漆
-
留言發布 2019.12.10 15:20
闖關修法安插閨蜜小妹? 高市文化局:目前未規劃高流副執行長人選
-
留言發布 2019.12.10 15:17
楊宏基觀點》「網軍」犯罪 該用「組織犯罪」查辦!
-
留言發布 2019.12.10 15:17
批綠強推《反滲透法》騙選票 馬英九:台灣恐陷入新麥卡錫主義
-
留言發布 2019.12.10 15:10
美麗島40週年 陳菊:民主深化、壯大台灣下一代要承擔
-
留言發布 2019.12.10 15:03
人民外交培訓計畫獲獎:東帝汶人民成為他人希望來源
-
留言發布 2019.12.10 15:03
深探美麗島(四)/救援行動與軍法大審
-
留言發布 2019.12.10 15:00
港人來台求助是否另立難民法?前港府幕僚:台灣可立境內特區
-
留言發布 2019.12.10 15:00
山羌、老虎陪搭火車!新竹六家線動物彩繪列車歡樂行駛到明年
-
留言發布 2019.12.10 14:52
《英雄聯盟》「街亭」失守!J Team宣布Refra1n、FoFo、Koala離隊