發布 2022.12.27 15:52
新聞跑馬燈
最新報導
-
留言 -
留言發布 2022.12.27 15:44
雙方正式洽談簽約!館長:如果Toyz可以走完訓練 真的很勵志
-
留言發布 2022.12.27 15:35
申辦護照大爆量 領務局:明年起製發天數延長至6天
-
留言發布 2022.12.27 15:32
中國1/8放寬邊境!觀光局:禁團令將配合政策調整
-
留言發布 2022.12.27 15:03
神還原「怪物新人」組曲!阿心熱跳韓舞網敲碗出道
-
留言發布 2022.12.27 14:59
本人會下場打!統神:買下《英雄聯盟》戰隊只為一圓職業夢
-
留言發布 2022.12.27 14:58
歐陽妮妮寒冬辣曬比基尼!小露性感連王子都害羞:不敢看
-
留言發布 2022.12.27 14:56
蔡易餘對柯建銘致歉 「柯總召是黑暗騎士我當小丑即可」
-
留言 2發布 2022.12.27 14:49
監院糾正「恩恩案」新北疏失!卓冠廷:衛生、消防局長應自請處份 侯友宜正式道歉
-
留言發布 2022.12.27 14:20
開送Gogoro支票還不夠?謝國樑又喊:任內一定推動讓基隆升格直轄市
-
留言發布 2022.12.27 14:15
小內閣女性比例偏低? 張善政:人事升遷會重視女性比例
-
留言發布 2022.12.27 14:15
快訊》爆增43%!本土24,427境外71 指揮中心:較上週二多7347例!
-
留言發布 2022.12.27 14:13
疫情海嘯! 陸「大五毛」醫生也病重 網酸 :「是級別不夠 還是拒用進口藥物?」
-
留言發布 2022.12.27 14:09
說好的疫苗受害救濟審查加速? 藍黨團怨政府二次傷害
-
留言發布 2022.12.27 14:05
樂天雙女神合體《小明星大跟班》!「襄籃」組合網嗨:最幸福的一集
-
留言 1發布 2022.12.27 14:04
中國高空、長航時飛艇侵入菲律賓?南海戰略態勢感知反控美軍部署「平流層飛艇」
-
留言發布 2022.12.27 13:34
蔡英文宣布兵役延長為一年 游盈隆:正確且重大的政策選擇
-
留言發布 2022.12.27 13:10
好消息!台鐵玉里–富里12/28通車 初期限速80公里
-
留言發布 2022.12.27 13:02
中國1/8日起新冠降乙類、入境限制解除 台灣跟進? 王必勝:農曆年後才考慮
-
留言發布 2022.12.27 13:00
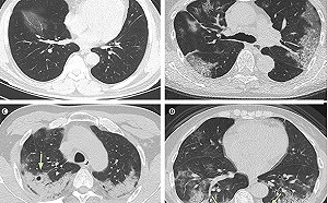
這照片最近在中國到處可見! 大「白肺」驚人 醫師 : 罹患者性命堪憂