子宮健康是許多女性生活品質的重要指標,不正常出血或長期貧血往往隱藏著子宮求救的訊號。一名曾有輸卵管子宮外孕及剖腹產史的43歲女性,長期受異常月經與陰道出血困擾,經超音波檢查後發現患有「子宮肌腺瘤」及「子宮下段缺損積血」,抽血檢查也發現已有輕微貧血。經雙和醫院婦產科醫師陳碧華規劃,安排點滴麻醉進行赫拉刀子宮鏡檢查,併用鈥雷射汽化消融子宮下段纖維化肌腺瘤,協助解決病灶,最後利用膠原蛋白基質粉的硬帽部分放在子宮內頸口凹陷傷口處輔助癒合,患者回饋術後子宮恢復良好,成功找回健康生活。
陳碧華指出,傳統重複性子宮鏡器械需多次消毒,容易面臨感染風險及視野不佳的限制。隨醫療品質意識提升,專業醫師與病患皆更在意手術安全與品質。對此,陳碧華表示,赫拉冷刀整套設備採取一次性拋棄式設計,有助於減少交叉感染的可能性,讓患者在手術過程中更加安心。此外,新式的極細導管與雙管水流設計,可以快速充填子宮腔,有助於維持清晰、穩定的手術視野,協助醫師在處理病灶時提升操作精準度與安全性。
當前熱搜:第二輪和談在即 川普仍嗆「摧毀伊朗」! 伊總統怒問美 : 「憑甚麼打我們? 」
在處理子宮肌腺瘤時,傳統電燒有可能會帶來熱傷害風險,影響子宮內膜的完整度。陳碧華表示,赫拉刀系統結合鈥雷射,屬於間歇式脈衝雷射,能量輸出穩定且熱傷害低,在進行子宮肌腺瘤消融手術時,利用雷射能避免熱傷害且切口平整,不僅有助於降低術後陰道出血量,也能保留子宮內膜完整性,降低術後沾黏的發生,對於希望保留子宮的女性是一大選擇。
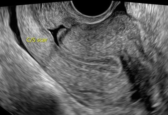
由於該病患同時伴隨剖腹產手術後常見併發症的子宮下段缺損積血,陳碧華透過赫拉冷刀雷射治療子宮下段缺損,並利用系統子宮鏡光源引導,於子宮內頸口凹陷處置入膠原蛋白基質粉輔助患部修復。她強調,赫拉刀系統的應用範圍極廣,不只適合治療子宮息肉與肌瘤,更能廣泛應用於取出避孕器、停經後出血檢測及早期內膜癌診斷,對於未完成生育或停經後更年期不正常出血的患者,提供精準、溫和的治療選擇。
針對不正常出血的困擾,陳碧華分享,許多女性習慣對婦科問題「隱忍」,往往等到貧血、體力下降或症狀嚴重時才就醫,她提醒女性應定期接受婦科檢查,一旦發現經期異常應及早尋求專業醫療建議,避免延誤治療。此外,由於新式精密醫材多屬自費範疇,病患在術前可先詢問個人保險是否有給付,以及門診是否理賠,讓治療過程更無後顧之憂。
子宮下段缺損積血的超音波畫面。 圖:陳碧華醫師/提供